Ce este Reconstrucția Dentară?
Reconstrucția dentară este un tratament complex, minim invaziv, care are ca scop refacerea funcțională și estetică a danturii afectate de uzură, dezechilibre ocluzale sau traumatisme. Fără frezări agresive și cu un focus pe păstrarea dinților naturali, această abordare modernă redă pacientului nu doar zâmbetul, ci și confortul masticator și echilibrul ocluzal.
Descoperă tot ce trebuie să știi despre Reconstrucția Dentară
Tipuri de Reconstrucție Dentară
01.
Reconstrucție dentară full-mouth
Reconstrucție completă, funcțională și estetică, în care abordăm toate cele patru arcade.
Se adresează pacienților cu uzură severă, dezechilibre ocluzale și afectare extinsă a smalțului.
Redăm armonia zâmbetului și funcția masticatorie completă.

Reconstrucție totală
02.
Reconstrucție unidentară
Reconstrucții pe un singur dinte sau pe o zonă restrânsă.
Soluții pentru corectare estetică, închiderea triunghiurilor negre după tratamente parodontale, refacerea spațiilor rămase după tratamente ortodontice sau repararea dinților ciobiți în urma unui accident.
Intervenție punctuală

Consecințele uzurii dentare
Uzura dentară explicată

Reconstrucția Dentară în 6 etape
Tipuri de materiale folosite in Reconstrucția Dentară

Compozit
Conservator, rapid, ușor de reparat
Cost estimativ: €5000-€6500*
Avantaje:
-
Rapid
-
Costuri reduse
-
Reparație ușoară
Dezavantaje:
-
Estetică limitată
-
Se uzează mai repede
-
Se modifică culoarea
Durabilitate:
Estetică:
Cost:
*Preț orientativ. Oferta finală se poate stabili doar după consult și investigații detaliate.
Zâmbet natural, tratat cu blândețe
Restaurări personalizate din compozit, fără durere și fără frezare.
În cabinetul nostru, fiecare restaurare este realizată manual, strat cu strat, cu grijă și atenție la detalii. Folosim compozit de ultimă generație, care se armonizează perfect cu dinţii tăi și refuză orice compromis între estetică și sănătate. Rezultatul? Un zâmbet revitalizat, durabil și complet lipsit de disconfort.
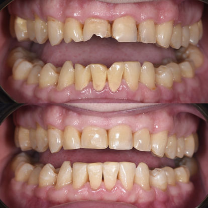
Transformarea unui zâmbet
Reconstrucție completă minim-invazivă

"Acest pacient a beneficiat de o reconstrucție dentară completă, realizată printr-o abordare minim invazivă. Prioritatea noastră a fost să păstrăm cât mai mult din structura dentară naturală, utilizând tehnici avansate care să asigure atât un rezultat estetic, cât și o funcționalitate optimă a dinților. Fără frezări agresive și cu un accent deosebit pe confortul pacientului, tratamentul a fost personalizat pentru a reda zâmbetul și încrederea, dar și pentru a restabili ocluzia și sănătatea orală pe termen lung. Această metodă blândă ne-a permis să protejăm integritatea dinților, oferind rezultate durabile și naturale."
Dr. Chivu Mihaela
"
Experiența pacientului, în cuvintele lui
Deoarece sufăr de abraziune și uzură dentară accentuată (dentină expusă la mulți dinți) medicul dentist mi-a recomandat un consult la Dr. Mihaela Chivu în vederea adresării acestor probleme pentru a stopa uzura și a evita tratamente mai complicate pe viitor.
De la bun început comunicarea cu Dr. Chivu a fost foarte bună, mi-a explicat că tratamentul de reabilitare dentară nu implică nici un fel de șlefuire dentară sau coroane dentare și că totul se va realiza prin adiție de materiale și fără anestezie. Mi-a fost prezentat planul de tratament care ulterior a fost respectat întocmai. Doamna Doctor mi-a răspuns la toate întrebările referitoare la tratament și m-am decis să urmez tratamentul dânsei de reabilitare dentară. Tot tratamentul a durat în jur de două săptămâni, timp în care nu am avut probleme de adaptare și nu am avut probleme de masticație și m-am putut hrăni normal pe toată durata tratamentului. Imediat cum am terminat tratamentul m-am simțit complet adaptat cu nouă dantură/mușcătura.
Doamna Doctor este foarte atentă la detalii, iar la sfârșit a petrecut cât timp a fost nevoie pentru "fine tuning" și pentru a se asigura că mă voi simți cât mai bine cu nouă mușcătura și chiar mă simt excelent! Pe lângă faptul că am putut opri uzură dentară acumulată pe parcursul a multor ani și că de acum înainte îmi protejez dintîi de orice eventuală uzură dentară ulterioară și că îi voi putea păstra încă mulți ani de acum înainte, vreau să menționez și faptul că rezultatul final mă mulțumește foarte mult și din punct de vedere estetic, aditita de material pe dinți nu este vizibilă/sesizabilă, dintîi mei arătă iarăși întregi și am un zâmbet mai frumos pe care sunt mult mai dispus să îl arat celor din jur!
Recomand cu mare căldură tratament de reabilitare dentară prin adiție la Dr. Mihaela Chivu oricărei persoane care suferă de abraziune și uzură dentară, este un tratament complet și pe termen lung pentru această afecțiune!














